If you need a more accessible version of this website, click this button on the right. Switch to Accessible Site

Lapiplasty 3D Bunion Correction

main lapiplasty banner

Fix the Root Cause. Get Back On Your Feet Quickly.1
Learn More About 3D Bunion Correction™

Are Bunions Limiting Your Activities and Lifestyle?

Bunions can be very painful. With each step, your entire body weight rests on that bunion. Ouch! A common misconception about a bunion is that it is an overgrowth of bone that can simply be "shaved off". In reality, bunions are complex deformities caused by an unstable joint.

Lapiplasty® 3D Bunion Correction

Relief is here. Now, there's a new, patented treatment for bunion correction – Lapiplasty® 3D Bunion Correction. Southeast Podiatry is offering this exciting, new treatment option which does more than simply remove "the bump"; it addresses your bunion in three dimensions to correct the root of the problem. Advanced fixation technology is used to secure the correction in place, allowing patients to walk within days of surgery.1

Why Was Lapiplasty® 3D Bunion Correction Developed?

For 87% of people with bunions, traditional surgery has failed to get to the true source of the problem – a 3-dimensional deformity caused by an unstable joint.2 This is why many people who have had traditional surgery have had their bunions return.3 In fact, 1 in 3 patients have been left dissatisfied with their surgical outcome in the past and up to 70% of those treated have had their bunion return.4

Traditional Approaches To Bunion Correction Have Been Ineffective

lapiplasty box lapiplasty box lapiplasty box lapiplasty box

Traditional Surgery Is A 2D Solution For A 3D Problem

Traditional bunion surgery has been limited to an incomplete, two-dimensional (2D) approach to correction; cutting the bone in half and pushing the top part over to reduce the appearance of the bump. This 2D "cut and shift" approach primarily addresses the bunion's symptoms, not the root cause – the unstable foundational joint – leaving the bunion significantly more likely to come back to some degree.3

Traditional 2D Surgery

Like trying to fix The Leaning Tower of Pisa by cutting it and shifting it.

traditional traditional

How Does Lapiplasty® 3D Bunion Correction™ Work?

Instead of cutting the bone in half and shifting the top part over, the patented Lapiplasty® Procedure uses specially-designed instrumentation to rotate the entire deviated bone back into its normal anatomical position, naturally straightening your toe; removing the "bump" and associated pain. Innovative titanium plating technology5,6 permanently secures the unstable foundation, the root of your bunion problem. Most patients are able to walk within days of surgery.1 No cast is required; allowing patients to get back to the shoe wear of their choice and activities quickly.1

Lapiplasty® 3D Bunion Correction™

Like addressing the unstable foundation (root cause) of The Leaning Tower of Pisa by rotating it back into position and permanently securing it.

lapiplasty procedure lapiplasty procedure

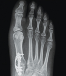
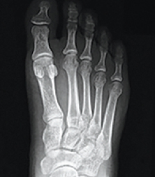
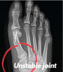
What Does A Correction Look Like On X-Ray?

xray Normal Foot
xray Traditional 2D Surgery
"Cut & Shift" approach leaves an unstable joint
xray Lapiplasty® 3D Bunion Correction™
Alignment is restored & unstable joint is permanently secured

Lapiplasty® Patented Titanium Plating Technology — Enabling Early Weight Bearing

The Lapiplasty® Procedure utilizes two low-profile (petite), anatomically-shaped titanium plates to permanently secure the unstable foundation of your corrected bunion. This provides buttressing on multiple planes and allows you to walk within days of surgery.1 Think of this in terms of how a basketball player might hold a basketball. When a player tightly grips the ball with both hands, the ball is held more securely than if only one hand is used.

Unlike other surgical approaches, the Lapiplasty® Procedure utilizes two plates for this very reason – "Two plates are better than one".7

lapiplasty plates

What Should I Expect In Terms Of Recovery?

The patented titanium plating technology used with the Lapiplasty® Procedure enables patients to bear weight on their foot early.1 The ability to do so can dramatically improve your recovery process, allowing you to walk up to 6-8 weeks earlier than with the more traditional Lapidus approach (which was previously the only option for addressing the unstable joint).

Being able to walk in a surgical boot, as opposed to being completely non-weight bearing (in a cast with scooter or crutches) for 6-8 weeks, means that you will be getting back to a better quality of life faster; may return to most occupations more quickly; and will be less inconvenienced by bunion surgery.8

Recovery Comparison: Expectations

lapiplasty chart lapiplasty chart

 

Hear What Patients Are Saying About Lapiplasty® 3D Bunion Correction

Below are quotes from actual Lapiplasty® patients. As with any medical treatment, individual results may vary.
These results are specific to these individuals only.

Tiffany

from West Virginia

"I have had two surgeries. This time was so much easier than the first time. I had very little pain and I could walk almost right away!"

Amanda

from Illinois

"My sister and I both had bunion surgery at the same time, but she can't understand why I can wear my heels with no problem and how I recovered so fast."

Carrie

from Colorado

"My husband and I both felt my foot looked so much better after my Lapiplasty® surgery. Much better than expected."

 

Frequently Asked Questions

Below are some questions patients commonly ask and their respective answers:

How long does it take to recover from a Lapiplasty® Procedure?

Patients are typically walking within days of surgery. Patients can return to most occupations within days to a couple of weeks, wearing a surgical boot. Within six weeks, you can expect to be walking in comfortable shoes such as tennis shoes, however you should not plan on any high-impact activities for 3-4 months. Short shopping trips and leisurely strolls are examples of the types of activities that should be fine at this point. Around the 4-month mark post-op, you should be able to return to most activities and most shoe wear.9

Can I wear fashionable shoes again?

The Lapiplasty® Procedure allows most patients to return to their desired shoes. Of course, some fashionable shoes can be painful (even with a normal foot!), so results can vary from person to person and shoe to shoe.

Can I play sports after the Lapiplasty® Procedure?

Yes, there are no permanent activity limitations after the Lapiplasty® Procedure. Most patients are able to return to most activities after the bones have completely healed at approximately 4 months.9

Can the Lapiplasty® Procedure be performed on someone who has previously had traditional surgery?

Yes, the Lapiplasty® Procedure is an option that can be utilized by your doctor when a revision is required. Even if previously treated, patients can experience the same benefits from Lapiplasty®– with a permanently secured foundational joint this time around.

I’ve heard the term "reproducible" used when describing the Lapiplasty® Procedure. What does that mean?

"Reproducible" means that a procedure is easily repeatable with expected results. The Lapiplasty® Procedure utilizes precision, patented instrumentation designed to take the guesswork and "eyeballing" out of bunion surgery; helping ensure your surgeon can get reliable results over and over.

Can the Lapiplasty® Procedure be performed as an outpatient procedure & how long does it last?

Yes, Lapiplasty®surgeries are performed as outpatient procedures. Typically, the surgery will last just under an hour. If your doctor is performing any additional procedures at the same time, the surgery may take longer.

 

References

  1. Smith B, Santrock R, Dayton P, Hatch D. Immediate Weight Bearing after Biplanar Plantar Fixation of Lapidus: A Multi-Centered Study. 2017 AOFAS Annual Meeting, Seattle, WA.
  2. Kim Y, Kim JS, Young KW, et al. Foot Ankle Int. 2015. 36:944-52.
  3. Okuda R, Kinoshita M, Yasuda T, et al. JBJS. 2007. 89:2163-72.
  4. Jeuken RM, et al. Foot Ankle Int. 2016. 37:687-95.
  5. Dayton P, Ferguson J, Hatch D, Santrock R, Scanlan S, Smith B. 2016. Comparison of the Mechanical Characteristics of a Universal Small Biplane Plating Technique Without Compression Screw and Single Anatomic Plate With Compression Screw. J Foot Ankle Surg. 55:567-71.
  6. Dayton P, Ferguson J, Hatch D, Santrock R, Scanlan S, Smith B. Biplanar Plating with an Anatomic Tension-Side Plate for Lapidus Fusion: Improved Biomechanical Properties. Accepted for presentation at 2017 AOFAS Annual Meeting, Seattle, WA. Submitted for publication.
  7. Dayton P, Ferguson J, Hatch D, et al.. J Foot Ankle Surg. 2016. 55:567-71.
  8. Catanzariti, AR, et al. Jrnl Foot Ankle Surgery, 38:325-32.
  9. MacMahon, A, et al. Foot Ankle Int. 2016. 37: 378-85.
  10.  

    Looking for more in-depth information on Lapiplasty® 3D Bunion Correction™?

    lapiplasty link lapiplasty brochure
Joomla SEF URLs by Artio